跳到内容
菜单
  • www.yabo88.com
    • vip亚博
  • yb体育官网下载
  • 机器人
  • yabo168vip com
  • 军事科技
  • 365亚博
  • 搜索
  • www.yabo88.com
    • vip亚博
  • yb体育官网下载
  • 机器人
  • yabo168vip com
  • 军事科技
  • 365亚博
美妙的工程

标签:剑桥大学

令人惊异的

这种新型“超级果冻”在被车碾过时可以变成防碎玻璃

Anand Kumar 2021年11月27日 0
剑桥大学的研究人员发明了一种可以承受巨大压力的新型软材料。…
vip亚博

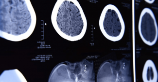
这种新的人工智能工具可以在一天内诊断出痴呆症

janat Un Nisa 2021年8月12日 0
在世界范围内,有近5000万人是各种类型和形式的痴呆症患者。阿尔茨海默病是最…
www.yabo88.com

比特币挖矿现在用电量比阿根廷还多

阿卜杜拉纳西尔 2021年5月3日 0
挖矿真的不环保,这么多强大的显卡挤在一个狭小的仓库里……

最近的帖子

  • 孟加拉国男孩在玩捉迷藏时被困在集装箱里,最后到了马来西亚
  • 观看9架f -16对丹麦空军基地的疯狂“攻击”
  • 美国海军飞行员因在一次任务中击落四架米格战机而获得认可
  • 10个最好的钥匙FOB覆盖福特野马Mach-E
  • 10个最好的屏幕保护Vivo X90 Pro+
  • 亚博电竞app
  • 热
  • 受欢迎的
  • 关于
  • 隐私政策
  • 联系我们

版权所有©2023奇妙工程。版权所有。

css.php